
小中学生を中心に不正咬合の調査を行ったところ、
成長期の乱れた歯ならびは、放っておいても治らないばかりか、悪化の一途をたどります。
※不正咬合(ふせいこうごう)とは・・・上下の歯が適切に咬み合っていない状態のこと
※藤井元太郎, 佐藤嘉晃, 石橋抄織, 他:若年者における不正咬合の発現に関する易学的研究.
北海道矯歯誌25, 69-75, 1997
子どもの矯正治療の方法や装置は不正咬合の種類と治療時期によって異なります。
ここでは年齢別にどんな種類の装置があるのかをご紹介します。
▲上記2つの写真はいずれもマウスピース型の装置です。
このような装置は数種類あり不正咬合の種類によって使いわけます。
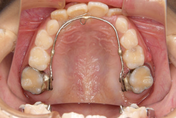
▲こちらは床型の矯正装置です。
▲歯ならびの横幅を拡げる装置です。
▲下の奥歯をまっすぐにしながら
歯ならびを全体に拡げる装置です。
▲前歯を前方に動かす装置です。
▲前歯に装置をつけて
ワイヤーで歯を動かす装置です。

■クリーンスタッフ パート
院内の清掃をはじめとした衛生管理を中心に活躍していただきます。
きれいなリーサを保つためお手伝いをお願いします。
■事務アシスタント 正社員・パート
院内の事務に関わる仕事を中心にお手伝いしていただきます。
印刷物や掲示物の作成、材料発注の連絡など日々の診療をスムーズにするためのお仕事です。
■歯科衛生士 正社員・パート
ブラッシング指導、予防処置を中心に衛生士業務をお願いしています。
専門知識を生かし患者様に密接に関わっていけることが魅力です。
矯正歯科の経験がなくても大丈夫!新人プログラムで指導がうけられます。
パート:週2回以上・3時間~を目安に働ける方よろしくお願いします。
明るく楽しくリーサを支えてくれる方大募集!




